Im Rahmen der Untersuchungen zum pränatalen Wachstum beim Rind konnten wir
die einzelnen Stadien der Entwicklung der Muskulatur vor der Geburt mikroskopisch
untersuchen.

Man braucht schon "goldene Hände" um die einzelnen Muskeln beim Fetus zu
entnehmen. Die hier im Bild gezeigte
Entnahme des M. semitendinosus aus der Keule vom 6 Monate alten Rinderfetus
ist da noch am Einfachsten.

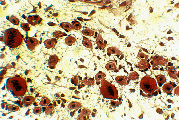
Bereits in einem 2 Monate alten Fetus können wir erkennen, wie sich die Myotuben aus den Myoblasten bilden. Die dunklen Zellkerne lagern sich in der
Mitte der Myotuben ab.

Im selben Alter ein Querschnitt. Hämalaun-Eosin-Färbung

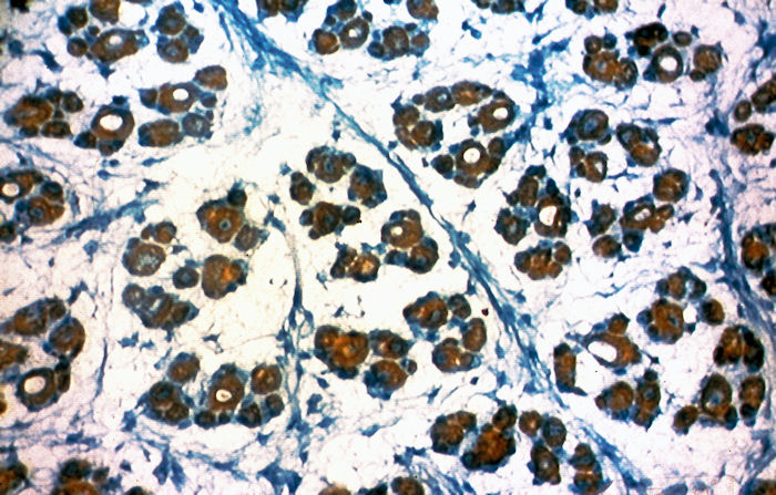
In der Muskulatur eines 3 Monate alten Rinderfetus ist Bindegewebe (blau)
bereits als Bündelstruktur organisiert. In den Bündeln
sind primäre Muskelfasern mit zentralem Kern erkennbar. Anilinblue-Orange G-Färbung
Hier finden Sie
die Arbeitsvorschrift...

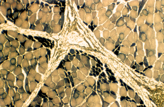
Mit 6 Monaten erkennt man große braune Primärfasern und um sie herum
kleinere sekundäre Muskelfasern. Anilinblue-Orange G
Das Muskelgewebe des neugeborenen Kalbes erlaubt ihm, unmittelbar nach der
Geburt der Herde zu folgen.

Bis zum Alter von 18 Monaten (Schlachtalter) vergrößern sich, die bei der
Geburt bereits vorhandenen Muskelfasern kontinuierlich. Das Verhältnis von
oxidativen (weiß) zu glykolytischen (blau) Muskelfasern verändert sich zu
Gunsten der glykolytischen Fasern.

Die Veränderung des Fasertypenverhältnisses während des postnatalen
Wachstums wurde zeitgleich bei vier verschiedenen Rinderrassen untersucht.
Eine wesentliche Zunahme der glykolytischen Fasern (Typ IIB) gab es nur bis zum
Alter von 2 Monaten und zwar zu Ungunsten der Typ IIA-Fasern. Danach
verändert sich das Fasertypenverhältnis nicht mehr (Journal Animal Science,
2000).

Ein Sonderfall der Myogenese, der Entstehung von Muskelfasern, ist die
Regeneration nach Verletzungen. Das Bild zeigt rechts intakte Muskelfasern
und links, getrennt durch Bindegewebe, zerstörte Muskelfasern (kaum
Diaphoraseaktivität), die durch Phagozyten abgebaut werden. Die Verletzung
(Biopsie) war vor 3 Tagen.

Immerhin dauert es 50 Tage, um diese Bilder aufnehmen zu können. Der
Biopsiekanal ist eine bindegewebige Narbe (in der Mitte des Bildes) und es
sind kleine, dunkle Faserquerschnitte links und rechts davon zu erkennen.
Die neugebildeten Muskelfasern haben eine hohe Diaphoraseaktivität.

Die intakten Muskelfaserbündel haben sich quasi mit neuen Fasern
komplettiert.

Die Regeneration wird durch sogenannte Satellitenzellen gewährleistet, die
bereits in der Myogenese am Rande der Muskelfasern zusammen mit den
Zellkernen angelegt werden. Im Eosinschnitt kann man beide nicht voneinander
unterscheiden.
Die Untersuchungen zur Regeneration wurden leider nicht weitergeführt, da histologisch-histochemische Methoden
vom Wissenschaftlichen Beirat des Institutes Mitte der 90er Jahre als zu alt und unmodern
abqualifiziert wurden.