Während die Myogenese, die Entstehung der Muskelfasern, im Wesentlichen auf
dem Zeitpunkt vor der Geburt beschränkt ist, findet die Adipogenese, die
Entstehung von Fettzellen, während des ganzen Lebens statt.

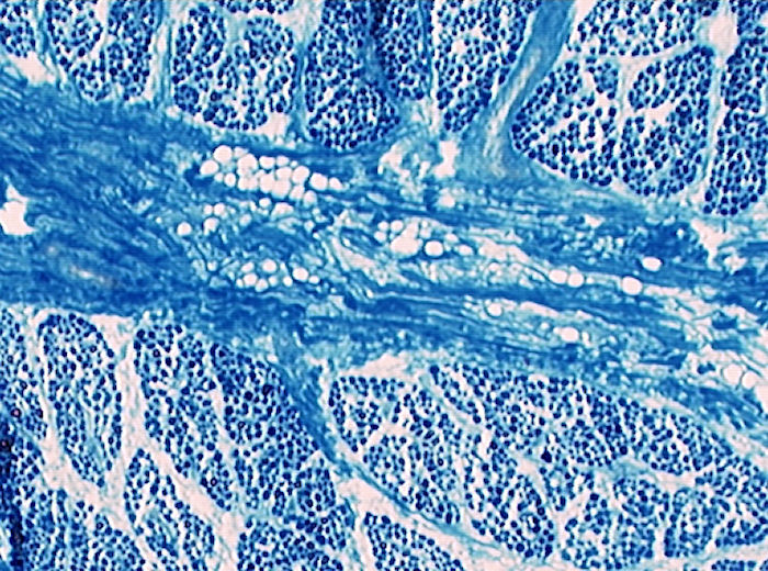
Zu unserer besonderen Überraschung fanden wir bereits reife Fettzellen im
Bindegewebe 6 Monate alter Rinderfeten
zwischen den Muskelfaserbündeln eingebettet. Sie waren bereits wesentlich
größer als die Muskelfasern.

Dass es sich um reife Fettzellen handelt, ist sehr schön an der typischen
Siegelringform zu erkennen.

Eine Gegenfärbung mit Oil-Red, einem typischen Farbstoff für Fett, ergab die
Gewissheit, dass es sich tatsächlich um gut mit Fett gefüllte Zellen handelt
(Archiv für Tierzucht, 1998).

Adipogenese, Fetteinlagerung, findet besonders im vorgerücktem Alter statt,
wie fast jeder an sich beobachten kann.
Am langen Rückenmuskel (M. longissimus dorsi) beginnt die Fetteinlagerung ventral, d. h. von der dem
Bauch am nächsten gelegenen Region, dort wo auch die Blutgefäße in den
Muskel eintreten. Im Bild ein fein marmoriertes Stück Rindfleisch.
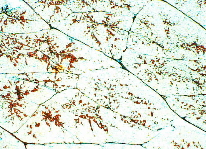
Im
makroskopischen Bild sieht man rot gefärbte Fettzellansammlungen, die von
Blutgefäßen (weiße Gefäßwand) durchzogen sind.
Adipogenese ist immer mit der Blutgefäßversorgung verbunden.

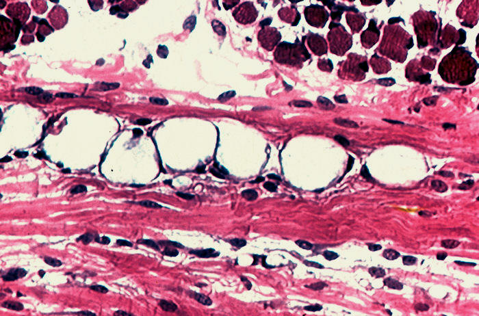
Die intramuskuläre Fetteinlagerung (Marmorierung) zeigt sich mikroskopisch
als Ansammlung von Fettzellen in Form von Inseln oder Strängen zwischen den
Muskelfaserbündeln. Das zähe Bindegewebe der Bündel wird dabei regelrecht
aufgelockert, woraus sich auch die Fleisch zartmachende Eigenschaft der
Marmorierung erklärt. Eosin-Färbung, Muskelfasern rot, Bindegewebe rosa,
Fettzellen weiß.

Fett ist nicht nur in Fettzellen zwischen den Muskelfasern enthalten,
sondern auch als Fett-Tröpfchen hauptsächlich in den oxidativen
Muskelfasern. Wie die beiden Depots in Wechselwirkung stehen und eine
quantitative Beschreibung steht noch aus.

Das war ein Zufallsfund in unserem institutseigenem Schlachthaus. In den Muskelfaserbündeln sind nur noch etwa 10 % Muskelfasern übrig
(orange). Der restliche Platz in den Bündeln wird von Fettzellen
eingenommen. Das bedeutet, dass sich Vorläuferzellen der Fettzellen,
u. a. die sogenannten Präadipozyten, auch mitten in der Muskulatur befinden
und sich zu reifen Fettzellen entwickeln können. Muskelsteatose wird kaum in der
Literatur beschrieben und ist für zukünftige Forschungen interessant.